Пациента без пульса в скором времени выпишут из Мариинской больницы

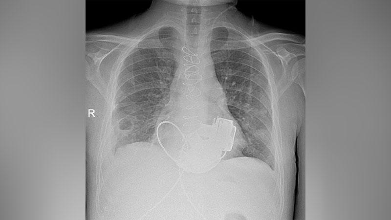
В Мариинской больнице готовится к выписке пациент, который стал первым в России, кому в конце ноября 2025 года были имплантированы оба искусственных желудочка сердца. Об этом сообщили в пресс-службе комздрава Петербурга.
Сегодня его состояние проверил председатель комитета Андрей Сарана. 36-летний Антон поступил с критической кардиомиопатией и сердечной недостаточностью, при которой его сердце работало на пределе. Из-за осложнений, таких как тромбоэмболия и инфаркт-пневмония, трансплантация сердца была невозможна.
Главврач Игорь Реутский принял решение об имплантации двух искусственных желудочков, что является нестандартным решением, так как обычно устанавливается одно устройство. Операцию провела команда ведущих хирургов под руководством академика Геннадия Хубулавы в рамках программы губернатора Александра Беглова по лечению терминальной сердечной недостаточности. Это десятая подобная операция в больнице.
— Операция продолжалась около четырёх часов, — рассказал Геннадий Хубулава. — Для наших специалистов самым сложным было синхронизировать работу двух искусственных желудочков сердца, но с этой задачей мы успешно справились. Это доказывает высокий уровень развития кардиохирургии в нашем городе, — сообщили в пресс-службе комитета.
Антон успешно преодолел сложный послеоперационный период и теперь готовится к выписке. Он адаптировался к жизни с двумя имплантированными устройствами и с нетерпением ждёт возвращения в Мариинскую больницу, где ему предстоит трансплантация донорского сердца. Установка искусственных желудочков стала для него временным решением, позволяющим дождаться этой жизненно важной операции.
Ранее 78.ru сообщал, что в Петербурге 47-летняя женщина родила сына.







